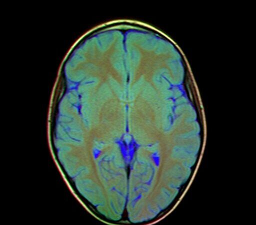
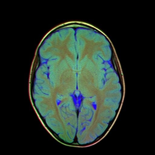
Magnetic Resonance Imaging of the brain is essential for understanding structural and functional changes within the central nervous system. Marris Medical offers high-quality imaging designed to detect subtle abnormalities that may impact cognitive or neurological health. With fast, comfortable scan experiences and highly trained specialists, we ensure precise evaluations for every patient.
Website: https://marrismedical.co.uk/services/mri-magnetic-resonance-imaging/
Email: info@marrismedical.co.uk
Phone: +44 203 011 1788
Address: 75 Harley Street Marylebone London W1G 8QL
Real Estate / Property
Vehicles
Bikes
Mobiles & Tablets
Electronics
Furniture & Home Decor
Fashion & Beauty
Jobs
Services
Pets / Animals
Books, Sports & Hobbies
Kids
Business, Industrial & Agriculture 